Blogs Home » Education » 牙齒的100種死法
\u7259\u9f52\u7684100\u7a2e\u6b7b\u6cd5
    • Last updated July 14, 2021
    • 0 comments, 195 views, 0 likes

More from vickong pun

  • \u6025\u6c42\uff1a\u5982\u679c\u60f3\u53bb\u6df1\u5733\u7a2e\u7259\uff0c\u53bb\u908a\u5ea6\u597d\uff1f
    1 comment, 0 likes
  • \u7259\u9f52\u6f02\u767d\u5605\u6b65\u9a5f\u6709\u908aD\uff1f\uff08\u4e0b\uff09
    0 comments, 0 likes
  • \u96b1\u5f62\u7259\u5957\u77ef\u6b63\u539f\u7406\u7cfb\u4e5c\u554a\uff1f\u96b1\u5f62\u7259\u5957\u4ecb\u7d39\uff0c\u6084\u6084\u8b8a\u7f8e\u5514\u4fc2\u5922\uff01
    0 comments, 0 likes

Related Blogs

  • Wicket gates and sliding gates: improving accessibility and security
    0 comments, 0 likes
  • \u91ab\u751f\uff0c\u770b\u500b\u7259\u6211\u70ba\u4ec0\u9ebc\u8981\u62cd\u7247\uff1f
    0 comments, 0 likes
  • Huge Tips on Improving Your Essay Writing
    2 comments, 0 likes

Archives

Social Share

牙齒的100種死法

Posted By vickong pun     July 14, 2021    

Body

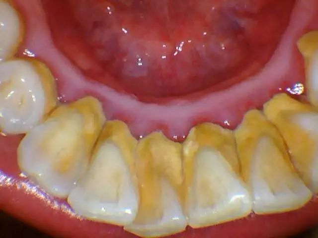
First Blood——牙周病

1

牙結石

牙周病:是牙齒支持組織所發生的病變。

是引起成年人牙齒喪失的主要原因之一,

也是危害人類牙齒和全身健康的主要口腔疾病。

刷牙出血

牙齦紅腫

口腔異味

牙齦萎縮(牙齒變長)

牙齦溢膿

牙齒鬆動

2

癥狀

3

掉牙?

像一顆大樹。

牙齒是樹木,

牙槽骨是土壤。

當土壤變少,

樹木自然傾倒倒塌。

當牙槽骨被破壞,

牙齒便會鬆動脫落。

菌斑、

牙石、

創傷性咬合、

食物嵌塞、

不良修復體、

口呼吸

以及全身因素

如內分泌失調、

長期服用某些藥物等。

菌斑和牙石

是大多數牙周病患者的

罪魁禍首。

4

病因

5

治療

   治療的首要目的:

去除病因!

去除病因!

去除病因!

不是單純的消炎止血哦。

預防其實很簡單:

洗牙,

定期洗牙,

堅持定期洗牙。

因為

牙石

通過常規刷牙漱口無法去除

只能通過

口腔定期潔牙來維持清潔

沒有一個牙石

是潔牙解決不了的

如果有,

那就是定期洗。

1.關鍵是控制和消除牙菌斑,

最有效的方法是每天堅持正確刷牙。

2.除去局部刺激因素,

定期清潔牙齒和刮除牙周的牙石。

切勿隨意相信

具有治療牙齦出血功能的牙膏及牙粉,

後果.....就是牙齒另一種死法了)

3.牙周病發病後應积極治療,

初期療效尚好,

晚期療效較差,可喪失牙齒。

6

死法總結


Comments

0 comments